Cosmetic Dentistry: Case 10
Description
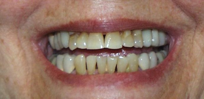
Lona had waited years to fix her front teeth. When she came in to see Dr. Parr she was ready to get the smile she had always wanted. Using Porcelain Veneers Dr. Parr helped Lona smile like she never had before. Lona now loves to show off her smile to everyone she meets.



